
審美歯科
「えっ、審美?そんなの関係ないよ。保険で十分でしょ」
「今は、前歯でも保険で白くなるんでしょ?だったら、保険で十分だよ」「奥の歯は別に、見えないから銀歯でもいい」
このようにおっしゃる方は、まだ多いです。ほとんどの方は保険での治療が十分な治療だと思われています。しかし、本当にそうなのでしょうか?実際に歯科診療をしている側から見ると保険診療には明らかに限界があるというのが実際のところです。
保険の前歯の特徴
まず、保険の前歯のかぶせものですが、これは「硬質レジン前装冠」といいまして、簡単に言うと固いプラスチックを金属の上にかぶせている、というものです。これは表面がプラスチックですので、平均的には2〜3年程度で変色してしまいます。皆さんの周りの方でもいませんか?前歯の色が明らかに他の歯と違う、黄色っぽく変色した歯がある方。
また、保険の前歯の場合、変色はしていなくても、プラスチックですので、天然の歯の色、ツヤ、透明感を出そうと思っても、それを出すことができないのです。ですから、変色していなくても、「あっ、他の歯と違うな」と感じてしまいます。保険の前歯はプラスチックですので、変色だけでなく水分を吸収して、口臭の原因となることもあります。
保険の奥歯の特徴
次は奥歯ですが、前から4番目の歯を保険が適用される銀歯にすると、笑った時にキラッと見えてしまう方が多いです(口の大きさによって変わります)。また、もっと奥の歯でも、下の歯だと大きな口を開けて笑うと、たとえ奥歯であっても、かなり見えてしまいます。人と話をしていて、「あっ、銀歯が入ってるんだな」と思うことがあるのではないでしょうか。 もちろん、銀歯が入ってることが全く気にならないという方もいらっしゃるかと思います。しかし、一方で「銀歯は入れたくない」という方がほとんどです。しかし、白い歯を入れたくても、金銭的な事情で入れられない方が多いのが実情です。ということは、「別に銀歯で良いよ」と言っている本人は気にならなくても、それを見ている人の多くは気になっているのではないでしょうか。
銀歯は気になる?気にならない?
たとえば、外見をとっても気にされて、キレイにされているし、本人もこだわっているのに、笑うと銀歯が3本ぐらい見えて、前歯は3本も変色している28歳の女性がいたら、どう思われますか?「顔もかわいいし、見た目もキレイなのにもったいない」と思いませんか?
つまり、それぐらい、他人から見ると、歯というのは見た目に影響があるということなのではないでしょうか。
白くてキレイな笑顔と銀歯がキラッと見える笑顔ではどちらが良いでしょうか?
その違いにはどれだけの価値があるでしょうか?
笑顔がステキな人ほど、やはり、印象というのは良いものですが、その第一印象が仕事においても重要なのは言うまでもありません。ということは、第一印象にも影響する笑顔、そこに銀歯があるかどうかも仕事において重要ということになるのではないでしょうか。
たとえば、営業をされてる方の営業成績に、会社を経営されてる方の会社の業績にも影響を与えてくるということがあるのではないでしょうか。
見た目が気になる方の対処法
見た目が既に気になっている方には、次のような対処方法があります。
1.オールセラミック
2.メタルボンド
3.ラミネートベニア
4.ホワイトニング
保険治療と保険外の治療には精度の違いがある
ここでは、見た目に焦点を当てていますが、保険が適用される治療と保険外の治療は見た目以外にも大きな違いがあるのです。それは、治療の精度の違いなのです。
保険でも最善の治療が出来るかというと、それは現実的には難しいのです。
保険制度では、1つの処置がいくらというのが決められています。
それはすごい上手な人がやっても、大学を卒業して1年目の人がやっても価格が同じなのです。しかも、その金額の設定が非常に低くされているのです。
例えば、根っこの治療をすると、私は最低でも3回かけているのですが、一生懸命やっていると、1回30分くらいかかるのに、保険での金額は110円〜210円(実際には再診料など、その外の点数が加算されますが、根っこの治療だけですとこれぐらいの金額になります)です。
保険で4番目の歯を銀歯で治療すると2万5千円程度です。
これを保険外のメタルボンドで白くしたら8万4千円です。
これだけ金額に差があったときに、治療の質に差が出るのはやはり、当然ではないでしょうか。
治療の質はどれだけ時間と手間をかけるかによります。
金額が大きければそれだけ時間をかけられますから、手間のかかる治療法であったり、保険が効かない高価な材料を使うことも出来ます。
既製服とオーダーメードの違い
よくたとえで使われるのが既製服とオーダーメードの違いです。私もオーダーメードのスーツは作ったことないのですが、既製服の限界は肌で感じています。
「これデザインは良いんだけど、き、きつい!もう少し、やせていたらなー」
「これ、もうちょっと色が濃ければいいのになー」
「このスーツ、見た目は良いんだけど、肩がこるんだよね」
「足の大きさが左右違うから、左右別々のサイズを買えれば良いのに・・・」
このようなことを感じたことはないでしょうか?
これと同じことが歯科治療でもあるのです。
保険治療は金額が限られているので、使える材料、使える時間が限られています。そうなると、もちろん、一人一人に応じた治療をするのですが、どうしても精度が落ちてしまいます。精度が落ちると、洋服が体系に合ってないのと同じような不具合が生じます。たとえば、咬みあわせが合わなくなってしまったり、自分の歯とかぶせ物の間に隙間ができてしまってむし歯が再発しやすくなるなどです。
しかし、自費治療ですと、十分な時間、高価な材料が使えますから、精度を十分に上げることができるのです。精度が上がると、洋服が体型にフィットしているのと同じように、咬みあわせがぴったりし、自分の歯とかぶせ物がしっかりフィットして、隙間を極限まで少なくすることが可能になるのです。
つまり、自費治療ではドクターが持っている技術を最大限引き出し、そのドクターの最高の治療を受けることが可能になるのです。しかし、保険治療では、時間と材料の関係上、60〜80%ぐらいの治療しか受けることが難しいのです。
また、オーダーメードであれば、「デザインをこうしてほしい」とか「ここをもうちょっと、こうしてほしい」という要望に応えることが出来ますが、既製服であれば、あるものの中から選ばなければなりません。それと同じように保険のかぶせ物だと、例え白くなっても、出せる色は少なく、時間が経つと変色してしまいます。しかし、保険が適用されない自費であれば、色は天然の歯に合わせることが出来ますし、変色もしません。
自分の口元に自信を持って生活していけること
自分の口を健康に保つために、最高の治療を受けること
これらに、あなたはどれだけの価値を見出すでしょうか? 価値を感じる方には、保険外の治療も検討されることをオススメします。
審美治療を受けた感想
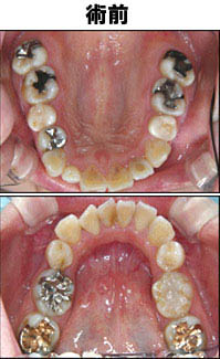
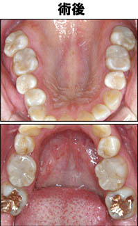
C・M様 女性 44歳 メタルボンド
術前→術後
以前の治療を受けていた歯が欠けた為、新しく治療しました。以前の歯に何ら問題も違和感も無かったので、新しい歯が舞え以上、もしくはそれ以上のものを期待しました。
以前の歯の形がどうであったかが、新しい治療段階では確認できなかった事が、少し残念に思いましたが、仮の歯の長さを変えたものを2種類作って下さり、2週間にわたり使用し、自身で納得した歯を作って頂きました。
治療が終わり、今は以前同様、違和感なく生活しています。一つ一つの過程を自身が納得・確認しながら治療できました事、感謝しております。
この新しい歯も永く使えればと思っております。
Mさんは父の代から通っていただいており、今も月に一回、隣の市からクリーニングに来院されます。そんなMさんの2番目の前歯の被せが壊れた為再治療することになりました。仮歯で形を調整しWさんの繊細な感覚に違和感の無い形、大きさ、長さに仕上げて、それを基にセラミックで修復しました。隣の一番前の歯が白い歯なので、それに合わせた色で作りました。仮歯で細かいところを詰めているので装着後も違和感無く使っていただいています。
M・A様 女性 33歳 セラミックインレー
術前→術後
以前通っていた先生が亡くなったため、先輩に相談をして紹介してもらいました。
今までは虫歯を治療してもかぶせをどうするか聞かれたことがなく、はじめて、安全面、見た目、費用等、いろいろと教えて頂きました。
今までと違い、予想以上の出来で驚いています。費用が高いので少し悩みましたが、すごく丁寧に時間をかけて治療して頂き、セラミックにしてよかったと思ってます。ありがとうございました。
ブラッシングの指導をしていただいているのに、全然上達しなくて申し訳なく思っていますが...(少しずつがんばっていきたいです)今後供いろいろとお世話になりますが、よろしくお願いします。
Aさんは、奥歯の詰め物の歯と歯の間の部分が段差になっていたのを修正するために治療しました。歯と歯の間の部分はぴったりあわせるのが難しい部分なのです。しかし、ただでさえ汚れを取るのが難しいところなので、清掃しやすいように段差がなくスムーズにするため、細心の注意を払って治療しました。
以前は保険の金属で詰めてありましたが、今回はセラミックの詰め物を選択されました。左のページの写真を見ていただければわかるように、とてもきれいに仕上がります。パッと見ただけでは自分の歯と区別できません。この自然な仕上がりとプラスチックのように変色・磨耗をしないので、この見た目がいつまでも続くこと、しっかりとした咬み合わせを長期間維持できることがセラミックの大きな特徴です。
セラミックとは簡単に言いますと瀬戸物なので割れたりしやすいという欠点もあり、歯に接着するまでは、取り扱いにとても注意が必要です。本当に気を使う治療なのですが、一度歯に接着してしまうと普段の使用で割れたりすることはほとんどありませんので、自分の歯のように使っていただけます。
T様 女性 35歳 ハイブリッドセラミック
術前→術後
私の母が前院長先生の代よりお世話になっており、手先が器用で、誠実に対応してくれる、と大変有難がっておりました。今回、2〜3年の渡米ということで、信頼できる梅田歯科さんに一度見てもらっておいたほうがよい(米では治療代が高い)、と母から紹介してもらい、受診となりました。
当初の目的は、渡米中の2〜3年間、虫歯で痛くなったり、かぶせがとれたりの心配がないよう、というものでしたが、時間も限られており、又、治療済みのかぶせている歯でとれそうな歯が予想以上に多かったことで、先生にはかなり無理を申してしまいました。
普段見えにくい位置の歯まで、写真で分かりやすく説明してくださり、かぶせの種類についても、費用を含め、いろいろと相談にのって頂きました。とりあえず、この先、2〜3年の事しかかんがえていなかった私ですが、先生をはじめ、スタッフの方のブラッシング等の指導により、自分の歯に対する意識が大分かわってきました。ただ言われた箇所のみ治療するのでなく、個人個人の今後のことを考えて診て頂けたので、本当に有難かったです。こんなに丁寧に治療して頂いたのだから、という気持ちもあってか、これまで以上に歯を大切にしていこうと思います。手入れされた歯というのは、本当に気持ちがよいものですね。ありがとうございました。歯の治療でお悩みの方は是非お勧め致します。
Tさんはしばらくアメリカに住むことになるので、それまでに悪いところがあれば治療をしてほしいと、お母様のご紹介で来院されました。日程的に厳しい中、全部で8本の治療を無事終了しました。アメリカに住まれるということで、向こうでは口の中の見えるところに金属が入っているということが受け入れられないという事情と全米の中でも最も審美的に厳しいといわれるハリウッドのある地域に住まれるということで、金属の使用は考えられませんでした。本当に短い時間しかなかったことと、また数年して日本に帰ってきて問題があればやり直してもかまわないということで、今回はハイブリッドセラミックでの治療を選択しました。
これはプラスティックなのですけれどセラミックの特徴を併せ持っている材料で、今までのプラスチックと比べて変色性、磨耗性が格段に優れているものです。本当に厳しい目で色だとか磨耗性を考えると、セラミックのほうに軍配が上がるのですが、費用がセラミックより安く、物性もセラミックに近づいたハイブリッドセラミックを今回は選択しました。試しに歯に合わせてみて、割れてしまったりすると日程的に間に合わなくなってしまうため、セラミックと比べると扱いが簡単で歯に接着する前でも割れたりしにくいという特徴があるためです。
全ての治療が終わり、鏡を見たときにとても喜んでいただけました。帰国されて、又いらしていただく日を楽しみにしています。
Y・A様 女性 70歳 セラミックインレー
術前→術後
左下の金属をつめていた自分の歯の部分がかけてしまい、やり直さないといけなくなりました。笑うと見えてしまうので、金属の色ではない、他の自分の歯と違和感のないものにしたかったので、今回はセラミックの詰め物にしてもらいました。以前は、金属で詰めてたので、その色が見えたり、歯の薄い部分はすけて暗い感じの色になってしまうのが気になっていました。今回のセラミックの詰め物を入れてもらった時に、ピタッという感じがして、大変気持ちが良かったです。それからずっと違和感なく使っています。セラミックでの治療をやって大変良かったと思っています。治療を受ける前や治療途中なども、説明をしっかり受けたので、不安な気持ちはなく、安心してできました。今、金属の歯のところも全部これにしたいぐらいです。
Aさんは下の歯の詰め物が取れてしまい、治療することになりました。笑うとどうしても目に入るところなので今回はセラミックを使用して詰めることになりました。ぐるっと全部被せる場合と違い、部分的に詰めるのはその境目が見えてしまい、従来は白くはなるけれどもその継ぎ目がはっきりわかってしまうことが多かったのですが、最近は材料の進歩で色も強度も格段によくなり、安心して使うことができるようになりました.Aさんの場合も綺麗に周りの部分になじんでいると思います。同じ白い材料でもプラスティックとは異なり、セラミックはそのきれいで自然な白さが変わらずにずっと使っていただけます。また磨耗にも強いので使っているうちに磨り減ってしまい咬み合わせが低くなり、他の歯への悪影響が出てしまう心配も無いという大きな利点があります.Aさんも大変喜んでくださり、他の金属の歯が入っているところも全部セラミックにしたいとおっしゃっていただきました。それはこれからのお楽しみにとっておいていただき、これからも今の状態をずっと維持していきましょう。
C・I様 女性 82歳 コバルトクロム義歯
術前→術後
Iさんは父のときから来院していただいています。その時につくった義歯を修正を繰り返しながら使っていただいていたのですが、人工の歯がだいぶ磨り減ってしまったので今回新しくすることにしました。上下とも金属床にして強度を高めながらも厚みを薄く違和感の少ない形にしました。そのうえで上の残っている歯の根っこに磁石の台を使い、ピッタリとくっつくようにしました。そのためもともとよくフィットしている上の歯がもっとくっつきお話ししていて落ちたりする心配がまったくなくなります。それでいて取り外しも簡単なのです。
T・M様 女性 62歳 ゴールドインレー
術前→術後
Mさんはもう何年も定期健診でわざわざ玉野から毎月一回来院していただいています。今回は上の奥歯の詰め物が取れてしまい、詰めなおすことになりました。今まで入っていた保険の金属を使用する場合とゴールドを使用する場合、それからセラミックと3種類の方法をご説明しました。価格、機能性、安心感、見た目のうち安心感と機能性を重視されるMさんの場合はゴールド(金)を使って、歯の隅々までピッタリと適合した詰め物を作成しました。そしてセメントも口の中という水分が常にある過酷な環境でも従来のセメントのように溶け出してしまうことのないレジンセメントといわれる、現在最も強度の高いもので歯に装着しました。ゴールドは錆びたり、腐食することとがないもっとも安定した金属なので、口の中に使う場合に最も安心です。保険の金属はどうしても錆びてしまうので、最初は銀色でピカピカしていてもすぐ腐食して黒ずんできます。ごく微量とはいえ、人体によくない影響を与える可能性があるので、ゴールドをお勧めしました。もっとも理想的な方法で治療することを選択していただきましたので、定期健診とあわせて末永くお口の健康を保っていただきたいと思います。80歳で20本!大丈夫。絶対いけます!
Y・M様 男性 76歳 ゴールドインレー
術後
Mさんは金属の詰め物が取れてしまって来院されました。以前は保険の金属でしたが今回はゴールド(金合金)の詰め物を選択されました。ご承知のように紀元前の昔から金は価値のある金属とされてきました。それは腐食しない、最も安定した金属だからです。そのため口の中という過酷な環境でも錆びたり、身体に害のあるようなイオンが溶け出したりしないのです。そして金箔にもなるように1グラムの金でも叩いて伸ばすとたたみ一畳分にまで薄く延ばすことが出来るという特徴を生かしてつくる詰め物は本当に細部までぴったりと合ったものにすることが出来ます。このようにゴールドは最も精密に詰め物や被せを作ることが出来る金属なのです。
唯一つの欠点は、どうしても金属の色になってしまうということです。Mさんの場合は、上の歯で比較的奥の方だったことと、取れた部分が前からは見えにくい形だったので、見た目よりもそれ以外の機能を優先してゴールドインレーを選択されました。形が複雑で保険の金属だとどうしてもぴったり合いにくい部分もあったのですが、とても精密な詰め物が出来たと思います。
【診療案内】
├治療の流れ
├診療科目
├インプラント
├審美歯科
├歯周病治療
├予防歯科
├プライスリスト
└診療時間&アクセス
【医院案内】
├院長紹介
├スタッフ紹介
├院内ツアー
├キッズクラブ
├スマイルプランナー
├マスコミ取材実績
├歯科衛生士・助手求人
├無料メール相談
└トップ
【お知らせ】
├スタッフブログ
└カウンセリングルーム
〒700-0822
岡山県岡山市北区表町1−8−38
ナサ診療ビル4階
●電話:086−232−0001
●FAX:086−232−0002
Copyrightc 2008-うめだ歯科クリニック-All Rights Reserved.