
インプラント
「去年、定年になって、これから旅行に行くのが楽しみなのに、歯が抜けてしまって、このままだと入れ歯になってしまう。これから美味しい物をたくさん食べたいし、人生を満喫したいから入れ歯にはしたくない」
「これまでは子供にお金がかかって、自分は後回しだったけど、子供も自立したし、これまで放ったらかしにしていた自分の口をそろそろ大切にしようと思っている」
「入れ歯だと、味もわからないし、バネをかけている歯がグラグラしてくるし、もっと良い方法ないのかな?」
「まだ35歳なのに、奥歯が2本もなくて、入れ歯しかないと言われたけど、この年で入れ歯にするのは嫌だ!」
このようにおっしゃる方は相当数、いらっしゃいます。
やはり、歯というのは失ってみて始めて、その大切さが分かるようで、このようにおっしゃる方が多いようです。
そもそも、歯を失ってしまったときにそれを補う方法は3つしかありません。
1つ目がブリッジです。失ってしまった歯の両隣の健康な歯を削って、かぶせ物をして、橋をかけます。橋をかけるために、ブリッジと呼ばれている治療法です。ブリッジは固定式になりますので、取り外したり、装置を洗ったりする手間はかかりません。また、しっかりと両隣の歯に固定されているために、モノを食べる際にも、違和感なく、美味しく食べることができます。
※歯を何本か失ってしまった状態
↓
両隣の歯を削って支えにしてブリッジをかけた状態
しかし、ブリッジにも問題点がいくつかあります。まず、3本分を連続で補うことはできるのですが、5本からは支える歯に負担が大きすぎて、できないということ。次に、両隣の歯で支えますので、一番、奥の歯が抜けてしまうと支える歯がなくなってしまい、ブリッジをかけることができなくなってしまいます。さらに、ブリッジも両隣の歯で支えますので、この支えている歯に負担がかかってきます。
※ブリッジを支える歯に負担がかかりすぎて、歯周病になってしまうことが多いのです。
例えば、1本無くなってしまった歯を両隣の歯で支えるとすると、これまでは3本でやっていたことを2本でやることになります。会社で言えば、「これまで3人でやっていた仕事を1人辞めたから、2人でやってくれ」ということになります。最初のうちは頑張れるのですが、2年・3年経ったら、辞めてしまいますよね?それと同じように、支えている歯には大きな負担がかかり、状態にもよりますが10年ぐらい経つと支えている歯が辞めたくなってしまうようです(オスロ大学の調査によると、ブリッジの平均残存期間は10.5年であった)。最後に、ブリッジの場合、支える歯の周囲を削ってかぶせものをするので、健康な歯を削らなければならないというデメリットがあります。
※上の歯をブリッジにした場合
2つめは、インプラントです。インプラントについては後ほど詳しく、ご説明します。
3つ目は、入れ歯です。これは保険が適用されるので、非常に安く、手軽に作ることができます。入れ歯の良い点は安く、手軽に、短期間に作ることができるということです。しかし、入れ歯には様々なデメリットがあります。
まず、入れ歯は人工の異物ですので、補う歯の本数が大きくなるほど、口の中に違和感が出てきます。口の中は繊細に出来ています。例えば、髪の毛1本でも、咬んで違和感があります。それが総入れ歯になると、女性の握り拳位あるものを口の中に入れるのですから、違和感がないわけないのです。特に、入れ歯を支えるための床のような部分のある入れ歯になると、食べ物の味や熱さを感じにくくなってしまいます。
また、部分入れ歯の場合、入れ歯を入れる両サイドの歯にバネのようなものをかけます。これをかけることにより、入れ歯を固定します。しかし、支えにされた方の歯はたまったものではありません。咬む度に、上下左右に揺さぶられ、力を加えられ続けます。刺さった釘でも、長い時間をかけて上下左右に揺さぶられると、抜けてしまうのと同じように、バネをかけられてしまった歯は5年以内に抜けてしまうことが多いようです。バネをかけていた歯が抜けてしまうと、その分、部分入れ歯を大きくして、次の歯にバネをかけ、またバネをかけていた歯が抜けて、ということを繰り返し、総入れ歯に着実に近づいてしまうことになるのです。
入れ歯の場合、ブリッジのように固定式ではなく、取り外し式なので、キレイにするために毎日、手入れをしなくてはなりません。これが手間であるだけでなく、「他の人に見られると恥ずかしい」ということになります。
また、総入れ歯に近づくにつれて、食べ物がはさまる、痛いなどの理由により、咬むという重要な行為をすることが難しくなる場合があります。総入れ歯になると、たとえ咬むことができたとしても、自分の歯よりも咬む力が弱くなります。そうすると、固いものなどを食べることが難しくなってきます。
「大好きだった、たくわんが食べたい」
「おせんべいをバリバリ食べたい」
「大好物のステーキが噛み切れないから食べれない!」
という、歯があるときには当たり前だったことが入れ歯になってしまうと、できなくなり、美味しい物を自分の歯で好きなだけ、美味しく食べることがいかに素晴らしいことかを理解することになるのです。
現在、日本では8020運動といって、80歳のときに20本、歯を残そうという運動を厚生労働省が中心となって行っておりますが、現実は80歳になった時に平均、6.8本しか残っていません。
それは、歯が抜けてしまった後に入れ歯を入れて、バネを支えている歯が抜けていくことを繰り返していたからです。
このように入れ歯というのは確かに、安くて、手軽に、気軽に、短期間で作成することが可能です。しかし、安く出来るということの代償として、心身に負担やストレスをかけているのです。
ある調査によると、総入れ歯の人と自分の歯が10本以上残っている人を比較した場合、総入れ歯の人の方が明らかにアルツハイマーになりやすいというラットによる実験データも出ています。歯をかみ合わせたときに脳へ伝わる刺激というのはそれほど、重要なんです。
この刺激が行かなくなることで、記憶をつかさどる海馬という脳の機能と運動能力が低下していってしまうのです。つまり、きちんと咬めるということは年をとってからの生活、例えば、モノを覚える、人と話す、歩く、出かけるなどの生活に重要な機能にも重大なる影響を及ぼすのです。
失った歯を補う3つめの方法がインプラントです。
インプラントのメリットはブリッジと入れ歯の欠点がないことです。インプラントというのは、人口のチタンでできたネジのようなものを歯の根っこの代わりとして顎の骨の中に埋め込み、その上にかぶせ物を装着するというものです。
天然の歯が顎の骨の中に植わって、顎の骨で支えられているのと同じように、インプラントも顎の骨によって支えられるために、バネをかけたり、橋をかけたりする必要がありません。したがって、入れ歯やブリッジのように支えとなる歯に負担をかけることがありませんので、他の歯が抜けやすくなってしまうなどの問題が発生しません。
さらに、インプラントは顎の骨の中に植わってますので、咬んだときの感触、咬み応えが自分の歯に限りなく近い感覚になるのです。そして、脳への刺激も強くなりますので、これまで入れ歯だった方がインプラントをいれると多くの方が若々しく、活力に満ちた人生に切り替わることが多いようです。
最近は、インプラントの認知度も上がってきているようです。しかし、インプラントについては間違ったイメージもあるようです。
「手術が恐い」
というイメージを持つ方も多くいらっしゃいます。
確かに、「手術」と聞くと、恐いイメージを持ちます。そのお気持ちはよく分かります。
しかし、実際には親知らずを抜くような手術ですので、ケースにもよりますが、そのほとんどが小手術だと思っていただければと思います。
手術に伴う痛みも親知らずを抜いたときと同程度だと考えてください
ですので、当院では全身麻酔ではなく、歯を抜くのと同じように局部麻酔をして、だいたい1時間〜2時間で手術は終わりますし、手術後の腫れについても、2〜3日経てば治っています。自分の悩みを抱えたまま生きて行くのと、少しの間、手術の恐怖と戦うのとどちらが良いでしょうか?その手術の恐怖に勝った時に手に入る世界はどのような世界でしょうか?
「インプラントは高い」
インプラントについてこのように考える方もいらっしゃいます。
確かに、保険で作ることが出来る入れ歯に比べれば高いです。インプラントは1本30万円ぐらいします。
しかし、先ほども申し上げたように、保険で作る入れ歯は当面の機能は回復しても、長期的なお口の健康にダメージを与えているのです。
また、「歯はたくさんあるから、1本ぐらいなくても良いでしょ」と思う方もいらっしゃるようです。
これは大いなる間違いです。
指にも1本1本、役割があるように、歯にも1本1本、役割があるのです。
例えば、下顎の前から6番目の歯が抜けてしまって、そのまま放っておくと、どのようなことが起こるでしょうか?
次のようなことが起こる可能性が高いのです。
1.咬み合わせる下の歯がないので、上の歯が出てきてしまう
上の歯は下の歯がなくても、咬む機能を維持しようとして、咬む相手を探して伸びてきてしまうのです。そうなると、後で下の歯を入れるときには咬み合わせがズレているので、上の歯を削らないといけなくなってしまいます。
2.一番奥の7番目の歯が抜けた歯のスペースに倒れこんでくる
歯が斜めに倒れこんでしまうと、これを治すには矯正治療が必要になってしまいます
3.モノが挟まって咬みづらいので反対側でばかり咬んでいると、体のバランスが悪くなる
かみ合わせは全身の体のバランス、全身の健康にも大きな影響を与えています。その際に、1本1本の歯が重要な役割を果たしているのです。食べられれば、しゃべることができれば何でも良いというのとは違うのです。
このように、歯は見えないし、動かないから1本1本の役割が軽視されがちですが、非常に重要な役割を担っているのです。
もし、皆さんの中指が根元からなくなってしまったらどうしますか?
困りませんか?
「この中指が元に戻るなら、どんなことだってするのに!」と思いませんか?
失った歯をインプラントで元に戻すということは、根元から無くなった中指をチタンの骨を入れて回復させるということと変わらないのです。
中指を元に戻すのに50万円かかっても安いと感じませんか?
また、新車を1台買っても、軽く100万円はします。確かに、車は生活するうえで欠かせませんし、車があることで家族・恋人と旅行したり、楽しい思い出を作ることが出来ます。新車を買うこと自体もとってもわくわくする楽しい体験ですよね。そういう意味では、新車を買うということは人生を豊かにするために必要なお金だと思います。
しかし、失ってしまった歯を取り戻すということも非常に重要なことなのではないでしょうか。友達と家族と美味しい食事を食べに行ったときにメインのフィレステーキの臭いを楽しんで、肉を咬みきって味わうことが出来る、友達と旅行に行ったときにも何にも気にせずに旅行を楽しむことが出来るし、旅先で撮る写真も口元に入れ歯のバネなんかありませんから自信を持って笑うことが出来る。このようなことは人生を豊かに生きていくための基本的な部分なのではないでしょうか。
このような基本的な健康がしっかりしていなければ、何をしようとも、楽しさ・豊かさを感じることというのは難しいのではないでしょうか。
このような価値観で考えてみると、例えば、既に失ってしまった3本の歯を回復させるのに90万円かかったとしても、それが高い金額になるでしょうか?
これからはご自分の生活、人生の豊かさを満喫するために、今まで頑張って後回しにしてきた健康に少しぐらいのお金を使うことはこれからのご自分の人生を楽しむための道具を買い揃えるのと同じなのではないでしょうか?
「えー、そんなに違うの?」という方は、実際にインプラントを使用されてる方の声をご覧下さい。
インプラント治療を受けた感想
O様 男性 55歳
術前 ⇒ 術後
平成16年9月、左奥歯のブリッジが外れてしまい、その修復に梅田歯科に駆けつけ、そこで先生から、ブリッジは暫定的治療で、硬い物を噛んだり食べたりするなら、インプラントの方がいいと勧められたのが最初。
あごの骨に金属の土台を埋め込み、そこに歯を立てるというので、最初は相当大仕掛りの手術になるのかなと想像していましたが、結果は意外と簡単に済んだという感じでした。ただ、骨と金属との馴染みが必要とのことで、一定期間の間隔を空けての治療となり、最終的に治療が終わったのが、翌17年3月、丁度半年かかりました。
今は殆ど以前と同じ様に、好きなものを食べています。梅田先生はじめスタッフの皆様、お世話になりました。
Oさんはうちのスタッフの紹介で来院されました。左下の奥歯のブリッジが取れてしまったのです。ブリッジをやり直すことも可能でしたが、より残っている歯に負担の少ないインプラントで治療することになりました。翌春には東京に戻られることが決まっていましが、それまでに無事治療が完了し、一安心しました。先日もお葉書を頂き、問題なく快適に何でも食べられているご様子でした。
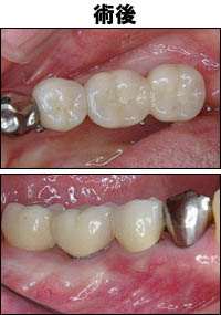
Y・W様 女性 77歳
術前 ⇒ 術後
左下の奥歯二本が虫歯で治療が出来ない状態でした。梅田先生のお話で、入れ歯かインプラントかどちらかとのことでした。
入れ歯をするには、一番奥の歯、前の歯に負担がかかり、又、出し入れも大変ですし、それかと云ってないのも不自由ですし、又、インプラントはこの年で大丈夫かと心配でした。又、お金のことも考えますし、大変に迷いましたが、先生より詳しいご説明と信頼で、思い切って作って頂きました。今は自分の歯と変わりなく。
Wさんは左下の一番奥のブリッジの土台となっている歯が歯槽膿漏で抜歯になりました。
そのため歯のない部分が2本分になり一番奥の歯が無いので、固定式の歯で治療するのが困難な状態になりました。通常は取り外しの入れ歯になります。それまで入れ歯を使用したことが無いWさんには抵抗があり、インプラントを使用し固定式の新しい歯を2本造ることになりました。ただ歯槽膿漏で歯茎の中の骨がやられていたため、そのままでは十分な骨の厚みが足りないので痩せた骨を再生させる処置を行い、造った骨が固まるまで6ヶ月待ちました。骨折したときに長い間ギブスで固定しないと治らないように、骨という組織は治るのに最も時間がかかるのです。しかもその造った骨にインプラントを入れないとならないので、安全の為しっかり待ちました。その甲斐あってしっかりした硬い骨ができ、インプラントが入りました。インプラントを入れる手術の次の日に旅行に行かれるようなこともありましたが、順調に治療が進み2本のインプラントの上に新しい歯が入りました。
今も毎月クリーニングに来院されますが、いつお聞きしても何でも美味しく頂けますと嬉しいお言葉を頂戴します。
C・O様 女性 31歳
術前 ⇒ 術後
Oさんは左下の永久歯が一本もともと無く、乳歯を抜いた後そのままにしていたのを、このままではいけないと来院されました。無くなった歯を新しく補うのに、まだ20代の女性であることから取り外しの入れ歯にするのは論外。ブリッジにするかインプラントにするかで悩まれましたが、両隣の歯を削ることなく新しい歯を造れることからインプラントを行うことになりました。歯を削るということはその歯の寿命を確実に縮めますので、他の歯を全く削る必要が無いのは、インプラントの最大のメリットです。それこそが僕がインプラントをお勧めする理由でもあります。
Oさんの場合は抜歯から時間が経っていたので頬側の歯茎の土手が若干痩せていたので、インプラント埋入時に骨を増やす処置を併用しました。それ以外は問題なく処置が進み、しばらく無かった部分に歯が入りました。新しい歯が入ってからもご自分の歯と全く違和感なく使っていただいています。
【診療案内】
├治療の流れ
├診療科目
├インプラント
├審美歯科
├歯周病治療
├予防歯科
├プライスリスト
└診療時間&アクセス
【医院案内】
├院長紹介
├スタッフ紹介
├院内ツアー
├キッズクラブ
├スマイルプランナー
├マスコミ取材実績
├歯科衛生士・助手求人
├無料メール相談
└トップ
【お知らせ】
├スタッフブログ
└カウンセリングルーム
〒700-0822
岡山県岡山市北区表町1−8−38
ナサ診療ビル4階
●電話:086−232−0001
●FAX:086−232−0002
Copyrightc 2008-うめだ歯科クリニック-All Rights Reserved.